User Tools

Site Tools


viewport

This is an old revision of the document!


Viewport interactions

PMA.slidebox supports brightfield, fluorescent, and z-stacked slides from a variety of vendors.

You can also include pictures of a resection piece to indicate where a sample was harvested. In order to allow a uniform viewing experience, PMA.slidebox supports a variety of common (conventional) camera file formats. This includes JPEG, JPEG2000, PNG, and TIFF.

Check out our formats page for an up to date list of recognized formats.

Navigation and controls

Slide navigation - panning

Use either the keyboard keys

Or the mouse

Slide navigation - zooming

Use the zoombar-control to go up or down in magnification

Or use the scrollwheel on your mouse

Double-clicking works, too, and is useful for laptops that don't have a separate mouse attached to them

The zoombar indicates whether you have are looking at a slide under an optical magnification, or a digital magnification

Slide barcodes and label images

Many proprietary file formats used in digital pathology contain not one but two images:

  • A high-resolution representation of the tissue on the slide
  • A lower-resolution image of the label pasted on the slide. The label can contain a printed barcode for ease of slide identification.

The label control can be collapsed and expanded, as needed. You can also rotate it and convert it to a separate browser tab, but using the buttons underneath

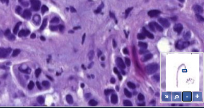
Overview panel and tracking

In the bottom-right corner of the viewport, you see a thumbnail representation of your slide. A red overlay indicates which area of the slide currently shown in the viewport.

You can increase and decrease the overview image with the buttons underneath the control.

You may also use the thumbnail image as a quick way to navigate to a particular area of your (already zoomed in) slide: just click on the area in the thumbnail, and the viewport automatically navigates to the selected region.

You can also enable tracking, which means that areas that you already visited on the slides are shown in a lighter hue, than areas that you didn't visit yet.

viewport.1621937690.txt.gz · Last modified: 2021/05/25 13:14 by yves