User Tools

Site Tools


aianalysis

AI Analysis

With the rapid growth of AI, PIMS LS has integrated some of the best AI algorithm to perform analysis on whole slide, selected area or current view. It gives pathologist detailed image analysis to diagnose things better.

Once user selected AI algorithm from the menu he is shown a pop box with details about algorithm, selected ROI, whole slide and also cost associated with performing the analysis. Its important in case of ROI that dimensions of it are with in selected AI algorithm boundaries else it would not allow to perform analysis. Once criteria is met “Run AI Analysis” button is enabled to perform analysis.

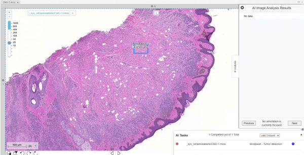
One the analysis is done, results are loaded in bottom section. It clearly indicates if analysis was successful or there was any error.

From the bottom panel user can click on info icon to get details on either success or failure. There is a side bar panel as well that shows up image results in case of success and we can navigate to different areas through it.

aianalysis.txt · Last modified: 2025/05/12 20:01 by ali