Utenti finali e navigazione
Configurazione del contenuto
Configurazione
Altri argomenti
Translations of this page:
Utenti finali e navigazione
Configurazione del contenuto
Configurazione
Altri argomenti
Translations of this page:
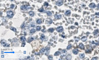
Quando si visualizzano slide che contengono dati fluorescenti (multicanale) o quando la slide rappresenta uno z-stack, nella finestra vengono visualizzati automaticamente ulteriori controlli di selezione che ti permettono di interagire con funzioni di formato di file specifiche.
Quando vengono trovati dati fluorescenti in una slide virtuale, appare automaticamente un pannello di controllo dell'istogramma.
In questo modo l'utente finale può combinare e abbinare i singoli canali. Sono anche possibili funzioni di base di ritaglio dell'istogramma.
Quando vengono trovati più piani (dati z-stack) in una slide virtuale, allora viene visualizzata automaticamente una barra di scorrimento per i vari livelli.
Ciò permette all'utente finale di navigare attraverso uno stack senza alcun problema.
Quando hai slide che contengono sia dati multicanale che piani z-stack, allora verranno visualizzati entrambi i controlli.
PMA.studio è l'ambiente di visualizzazione di punta di Pathomation per tutto ciò che riguarda le slide virtuali.
Quando aggiorni da PMA.slidebox a PMA.studio, ottieni una gamma di funzionalità extra, incluso il ritaglio dell'istogramma e la correzione della gamma per canale. Scopri di più su PMA.studio nella nostra pagina web dedicata.