User Tools

Site Tools


panel_viewport

Viewport

PMA.studio incorporates the PMA.UI framework, which includes a versatile viewport for control.

PMA.studio viewport is web-based and independent; the front-end runs in the webbrowser of your choice. You can use it to perform multiple actions on slide.

Getting around

If you want to rotate a slide, use the rotation widget in the bottom left of the screen for simpler mouse control, or to enter very precise rotation angles.

Zooming in

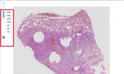
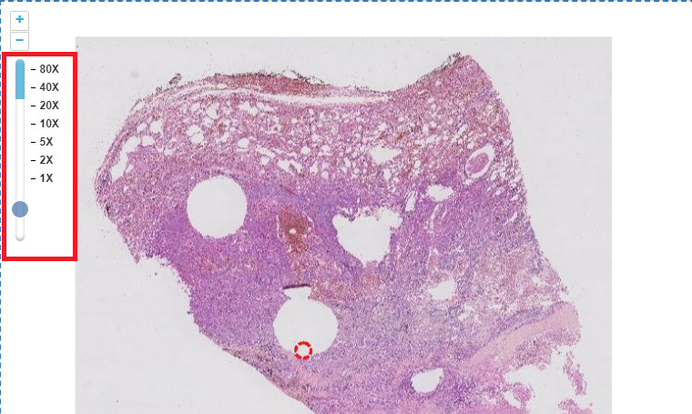
PMA.studio viewport offers different ways to zoom in on a slide.

The simplest way is to use the scrollwheel on your mouse: pushing the scrollwheel forward (away from you) lets your zoom in; bringing it toward you (or scrolling backwards) zoom out again. Furthermore, we've optimized the speed of interaction so that you can go from the highest level of viewing to the deepest level in one smooth sweeping motion.

If you don't have a mouse, or want precision control, you can use the zoom controls in the top-left corner of the screen, too. There are plus and minus button to zoom in (increase magnification) or zoom out (reduce magnification).

There is also the zoombar. You interact with that one by moving the slider up and down to control your magnification.

The zoombar is useful even if you don't use it to control your magnification: it also indicates whether you are looking at content through optimal magnification or digital pmagnificaion. The number of articifically added zoomlevels for digital zoom can be controlled in PMA.UI, or even disabled altogether.

Thumbnails and labels

Associated images are images that are part of the whole slide image data package, and provide additional information about the slide. Examples include a thumbnail image, a scan map, barcode image, or a label image. The first and the latter of this list are automatically added to the right of the viewport, if they are available.

Color Panel

You can adjust color of the slide using the color panel. It allows you to change brightness, contrast, gamma and color balance.

panel_viewport.txt · Last modified: 2023/02/08 15:50 by yves