User Tools

Site Tools


advanced

Fluorescence and z-stacking

When you display slides that contain fluorescent (multi channel) data, or when the slide represents a z-stack, additional selection controls automatically appear in the viewport to allow you to interact with specific file format features as needed.

Fluorescent data

When fluorescent data is found in a virtual slide, a histogram control panel automatically appears.

This allows the end-user to mix and match individual channels. Basic histogram clipping features are possible, too.

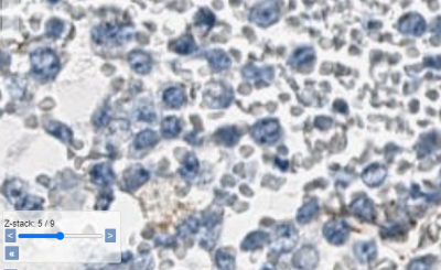
Z-stack data

When multiple planes (z-stack data) is found in a virtual slide, a slidebar for the various layers automatically appears.

This allows the end-user seamlessly navigate through a stack.

Combining fluorescence and z-stack data

When you have slides that contain both multi-channel data and z-stack planes, both controls appear.

More options

PMA.studio is Pathomation's flagship viewing environment for all things virtual slide related.

When you upgrade from PMA.slidebox to PMA.studio, you gain a range of extra functionality, including histogram clipping and per-channel gamma correction. Find out more about PMA.studio at our dedicated webpage.

advanced.txt · Last modified: 2021/06/01 16:25 by yves